- 矯正歯科
- orthodontics
- TOP
- 矯正歯科
- 矯正歯科
杉原歯科の矯正治療の特徴 For smile
-
キッズルーム完備(保育スタッフ在籍)
-
トータル料金制
当医院では
①装置費用等の治療費
②調整料(治療中)
③術後の後戻り防止装置
全般の費用になります。
調整料やリテーナー費用も含まれたトータル料金制度を採用しています。
その為、通院するたびに追加費用が発生する心配がございません。
※初回のみ診断料がかかります
※患者様によるリテーナーの紛失に関しては費用がかかります
3,000円~5,000円/回ほどかかる調整料は当医院ではかかりません。
支払いは現金・クレジットOKです!
最大24回まで分割が可能です。(治療内容により異なります) -
目立たない矯正治療が可能です
ホワイトブラケットは、表面に装着する矯正治療用のブラケットの一種で、一般的なメタルブラケットよりも色が薄く、目立ちにくい特徴があります。
当院のインビザライン治療はこちら
従来の矯正治療であるメタルブラケットは、金属が目立ちやすく、見た目が気になるという欠点がありましたが、ホワイトブラケットは、白いセラミック製で、自然な歯の色に近く、目立ちにくいため、治療期間中でも自然な笑顔を保つことができます。
ホワイトブラケットは、矯正治療の目的に合わせて、患者さんの歯の状態に合わせた矯正装置を使用することができ、歯並びを改善しながらも、周りに気づかれにくい矯正治療を希望される方にはおすすめの治療方法といえます。
目立たない矯正治療としてインビザライン(マウスピース矯正)も可能です。 -
家族割引き制度
2人目 20%オフ!
3人目以降 半額!!!! -
矯正歯科を専門に行う歯科医師による安心の矯正治療
毎月4回の矯正日を設けています。
患者様に安心してご来院頂けるようメールや電話による個人相談室もあります。
どのくらいの期間がかかるのか?費用は?痛みは?など、お気軽にご相談ください。
随時受付中です。
矯正までの流れ Flow to correction
-
矯正相談
・矯正診療についてのQ&A
・大まかな診断
-
資料採取
・パノラマレントゲン
・顔写真撮影・口腔内写真撮影
・歯の模型作製 -
診断
・資料を基に最終診断
・矯正に関する説明
-
矯正開始
一般・小児共通
初診・相談0円
成人矯正
精密検査資料取り33,000円(税込)
成人矯正
本格矯正・基本治療費用924,000円(税込)
動的治療期間:18〜30ヶ月・通院回数20〜32回
保定期間:24〜36ヶ月・通院回数10〜15回成人矯正
マウスピース型矯正装置(インビザライン)1,089,000円(税込)
動的治療期間:18〜30ヶ月・通院回数20〜32回
保定期間:24〜36ヶ月・通院回数10〜15回成人矯正
予防矯正・基本治療費用462,000円(税込)
動的治療期間:2〜3年(永久歯列になるまで、経過観察期間含)・通院回数20〜30回
小児矯正
歯列矯正用咬合誘導装置(ムーシールド)(対象:受け口)55,000円(税込)
治療期間:2〜6ヶ月・通院回数2〜6回
注意事項
- 矯正歯科治療は公的医療保険外の自費(自由)診療となります。
- キャッシュまたはカードどちらでもお支払い可能です。
- 上記の治療費を超過して、さらにご負担いただくことはございません。ゆえに毎回の調整料はありませんので、ご安心ください。 抜歯や虫歯治療は、保険診療払いとなりますので、ご了承ください。
- ご不明な点がございましたらスタッフにお尋ねください。
歯列矯正ってなに? What is orthodontics?
歯やあごの形を整え、健康な咬み合わせ・美しい歯並びを作り出します。
現在、歯並びや口元の美しさは、海外では「知識や教養の現れ」として、とても重要になっており、近年日本でも同じような傾向になりつつあります。悪い歯並びをそのままにしておくと、見た目だけではなく、虫歯になったり、からだの健康や発育、あごの関節にまで悪い影響を与えてしまいます。
最近とくに、悪いかみ合わせや顎の位置のずれによって、首や肩のこり・耳鳴り・めまい・頭痛などの症状が、大人だけでなく、子供たちにも目立ってきています。
歯ならびがよくなると、食べ物をしっかり咬むことができ、歯磨きもきれいにできるので、口の中の健康はもとより、消化を助けてからだ全体の健康にもよい結果をもたらします。
こんな方におすすめです
先生のご紹介 Introducing a doctor
-
中西 亮太Ryota Nakanishi
-
資格
日本矯正歯科学会認定医
ルイジアナ州立大ジャックシェルダン教授 EssixRインストラクター -
所属会
日本歯科大学歯学会 会員
日本矯正学会 会員
甲北信越矯正歯科学会 会員
日本ベック矯正歯科学会 会員
日本歯科理工学会 会員 -
学歴・職歴
1994年 日本歯科大学新潟歯学部卒業
1995年 日本歯科大学新潟歯学部卒業矯正科 臨床研究生
1998年 日本歯科大学新潟歯学部卒業矯正科 臨床研究生
1999年 日本歯科大学新潟歯学部卒業矯正科 臨床研究生
2000年 日本歯科大学新潟歯学部卒業矯正科 医局長
2000年 日本歯科大学新潟歯学部卒業矯正科 医局長 -
ごあいさつ
矯正治療は自費治療ゆえ、保険治療より費用も高額で、治療期間も他の歯科治療に比べ長くなりがち。
そんな矯正治療だからこそ、当院では医学的メリットは勿論ですが、患者様個々の価値観に寄り添った「受けてよかった/受けさせてよかった」矯正治療のご提案と、ご納得いただけるご説明を心がけています。
-
成人矯正 Treatable cases
対象(エステティックブラケット)
永久歯の方
エステティックブラケットは、矯正治療に使用されるブラケットの一種で、見た目に配慮された矯正治療が可能な矯正装置です。
従来のメタルブラケットは、見た目が目立つため、治療期間中の外見に不安を抱く方も多くいましたが、エステティックブラケットは、白色や透明な素材を使用することで、歯に装着しても目立ちにくく、自然な歯並びを目指すことができます。
また、エステティックブラケットは、矯正治療の効果を高く保ちながらも、見た目に配慮された矯正装置であるため、社会人や学生、芸能人など、外見に気を遣う方にもおすすめの治療法といえます。エステティックブラケットは、素材によって異なる種類があります。
それぞれの素材によって、特徴やメリットが異なるため、歯の状態や目的に合わせて、適したエステティックブラケットを選ぶことが大切です。
エステティックブラケットの治療 Treatment of esthetic brackets
矯正治療は、一人ひとりのお口の状態に合わせて、治療計画を作り進めていきます。
使用する装置や治療方法。治療期間の目安などを説明します。
歯と顎を移動させるための方法
矯正治療の終了した歯を安定させる方法
装置例
小児矯正 Pediatric orthodontics
対象
乳歯・永久歯混合期の方
症例によりいずれかの装置になります。
診断時に詳しくご説明させていただきます。
矯正治療は、一人ひとりのお口の状態に合わせて、治療計画を作り進めていきます。
使用する装置や治療方法。治療期間の目安などを説明します。
-

ワイヤー
-

バイオネーター
-

拡大床
2026年2月からは、小児矯正を専門とする歯科医師を新たに迎え、月1回から2回程度のペースで、
より専門性の高い小児矯正治療を提供していく予定です。
初回は2月10日(火)よりご予約を受け付けています。
ムーシールドとは
ムーシールドは乳歯列期に受け口(反対咬合)を改善する装置です。
乳歯列期に治療を行う事によって正常な顎骨の成長発育の促進及び、永久歯の正しい生え変わりを期待します。 就寝時にこの装置を装着する事によって舌や口腔周囲筋の状態が整えられ、反対咬合が改善します。
対象
・乳歯・永久歯混合期の方
・乳歯期(3歳~5歳くらい)の受け口でお悩みの方
治療の仕組み
受け口の要因となる
不正な筋機能を改善
受け口の成因は遺伝的要因の他に筋機能上の上口唇圧(癖)低位で機能する舌オトガイ筋の負の圧などの問題点が挙げられます。
ムーシールドは受け口の要因となっている不正な筋機能を正常な状態に改善する事によって歯列を整えます。
矯正時の主な副作用とリスク Main side effects and risks during correction
- 矯正歯科治療は、ワイヤーやブラケット、マウスピースなどの矯正装置を歯に装着し、装置を交換・調整しながら歯牙の移動を促し、歯並びや咬み合わせを改善する治療方法です。
- 矯正歯科治療は自費診療となり健康保険対象外です。
- 矯正治療中は、歯ブラシが届きにくく、虫歯や歯周病(歯肉炎)のリスクが伴います。そのため、医院でのブラッシング指導、ご本人の毎日の歯ブラシをしっかり行っていただく必要があります。
- 装置装着後と歯の移動により1~3日ほど痛みを伴うことがあります。
矯正装置の装着・着脱動作中に痛みや咬合状態の変化による不快感・違和感を生じる場合があります。 - 歯の移動に伴い、装置から余分なワイヤーが出ることがあります。そのため内頬を傷つけることがまれにあります。
その場合はワイヤーの調整やカットを随時行います。 - 小児矯正では、お子さんが無意識に装置を外したり壊したりしてしまうことがあります。
- 小児の取り外し式の装置(可撤式装置)ではお子さんご本人・保護者の方の協力を得られないと治療計画通りに治らないことがあります。
- 極端に硬い食べ物などを召し上がる場合など、装置が外れたりすることがあります。装置への負担を軽減するため、極端に硬い食べ物は避けるようにしてください。
- 繊維質の食べ物は、装置にひっかかり飲み込みづらくなることがあります。
- 舌側矯正の場合、装置の装着直後は発音・滑舌に影響が出ることがあります(慣れることで徐々に改善されます)。
- 個人差によっては歯が後戻りをすることがあります(移動した歯は元の位置に戻ろうとします)。
そのため治療終了後も保定装置(リテーナー)を一定期間正しくつけることを忘れずにお願いします。
矯正歯科の症例 Case of orthodontics
20代
主訴
歯並びをよくしたい
治療期間
3年6ヶ月
治療回数
44回
費用
総額:770,000円(税込)
資料代:16,500円(税込)
副作用・リスク
矯正歯科治療は自費診療となり健康保険対象外です。
矯正治療中は、歯ブラシが届きにくく、虫歯や歯周病(歯肉炎)のリスクが伴います。そのため、医院でのブラッシング指導、ご本人の毎日の歯ブラシをしっかり行っていただく必要があります。
装置装着後と歯の移動により1~3日ほど痛みを伴うことがあります。
矯正装置の装着・着脱動作中に痛みや咬合状態の変化による不快感・違和感を生じる場合があります。
歯の移動に伴い、装置から余分なワイヤーが出ることがあります。そのため内頬を傷つけることがまれにあります。
その場合はワイヤーの調整やカットを随時行います。
極端に硬い食べ物などを召し上がる場合など、装置が外れたりすることがあります。装置への負担を軽減するため、極端に硬い食べ物は避けるようにしてください。
繊維質の食べ物は、装置にひっかかり飲み込みづらくなることがあります。
舌側矯正の場合、装置の装着直後は発音・滑舌に影響が出ることがあります(慣れることで徐々に改善されます)。
個人差によっては歯が後戻りをすることがあります(移動した歯は元の位置に戻ろうとします)。
そのため治療終了後も保定装置(リテーナー)を一定期間正しくつけることを忘れずにお願いします。
8歳
※治療開始4か月時点:永久歯の萌出待ちの状態
主訴
予防矯正
治療期間
2021年12月〜継続中
治療回数
12回(2025年3月現在)
費用
総額:385,000円(税込)
資料代:16,500円(税込)
副作用・リスク
矯正歯科治療は自費診療となり健康保険対象外です。
矯正治療中は、歯ブラシが届きにくく、虫歯や歯周病(歯肉炎)のリスクが伴います。そのため、医院でのブラッシング指導、ご本人の毎日の歯ブラシをしっかり行っていただく必要があります。
装置装着後と歯の移動により1~3日ほど痛みを伴うことがあります。
矯正装置の装着・着脱動作中に痛みや咬合状態の変化による不快感・違和感を生じる場合があります。
小児矯正では、お子さんが無意識に装置を外したり壊したりしてしまうことがあります。
小児の取り外し式の装置(可撤式装置)ではお子さんご本人・保護者の方の協力を得られないと治療計画通りに治らないことがあります。
極端に硬い食べ物などを召し上がる場合など、装置が外れたりすることがあります。装置への負担を軽減するため、極端に硬い食べ物は避けるようにしてください。
繊維質の食べ物は、装置にひっかかり飲み込みづらくなることがあります。
舌側矯正の場合、装置の装着直後は発音・滑舌に影響が出ることがあります(慣れることで徐々に改善されます)。
個人差によっては歯が後戻りをすることがあります(移動した歯は元の位置に戻ろうとします)。
そのため治療終了後も保定装置(リテーナー)を一定期間正しくつけることを忘れずにお願いします。
20代
主訴
歯並びをよくしたい
治療期間
2年3ヶ月
治療回数
27回
費用
総額:770,000円(税込)
資料代:16,500円(税込)
副作用・リスク
矯正歯科治療は自費診療となり健康保険対象外です。
矯正治療中は、歯ブラシが届きにくく、虫歯や歯周病(歯肉炎)のリスクが伴います。そのため、医院でのブラッシング指導、ご本人の毎日の歯ブラシをしっかり行っていただく必要があります。
装置装着後と歯の移動により1~3日ほど痛みを伴うことがあります。
矯正装置の装着・着脱動作中に痛みや咬合状態の変化による不快感・違和感を生じる場合があります。
歯の移動に伴い、装置から余分なワイヤーが出ることがあります。そのため内頬を傷つけることがまれにあります。
その場合はワイヤーの調整やカットを随時行います。
極端に硬い食べ物などを召し上がる場合など、装置が外れたりすることがあります。装置への負担を軽減するため、極端に硬い食べ物は避けるようにしてください。
繊維質の食べ物は、装置にひっかかり飲み込みづらくなることがあります。
舌側矯正の場合、装置の装着直後は発音・滑舌に影響が出ることがあります(慣れることで徐々に改善されます)。
個人差によっては歯が後戻りをすることがあります(移動した歯は元の位置に戻ろうとします)。
そのため治療終了後も保定装置(リテーナー)を一定期間正しくつけることを忘れずにお願いします。
4歳〜10代
主訴
受け口を治したい
治療期間
2019年2月〜継続中
治療回数
12回(2025年3月現在)
費用
資料採取:15,000円(税込)
予防矯正:302,400円(税込・家族割引)
本格矯正:308,000円(税込)
副作用・リスク
矯正歯科治療は自費診療となり健康保険対象外です。
矯正治療中は、歯ブラシが届きにくく、虫歯や歯周病(歯肉炎)のリスクが伴います。そのため、医院でのブラッシング指導、ご本人の毎日の歯ブラシをしっかり行っていただく必要があります。
装置装着後と歯の移動により1~3日ほど痛みを伴うことがあります。
矯正装置の装着・着脱動作中に痛みや咬合状態の変化による不快感・違和感を生じる場合があります。
歯の移動に伴い、装置から余分なワイヤーが出ることがあります。そのため内頬を傷つけることがまれにあります。
その場合はワイヤーの調整やカットを随時行います。
極端に硬い食べ物などを召し上がる場合など、装置が外れたりすることがあります。装置への負担を軽減するため、極端に硬い食べ物は避けるようにしてください。
繊維質の食べ物は、装置にひっかかり飲み込みづらくなることがあります。
舌側矯正の場合、装置の装着直後は発音・滑舌に影響が出ることがあります(慣れることで徐々に改善されます)。
個人差によっては歯が後戻りをすることがあります(移動した歯は元の位置に戻ろうとします)。
そのため治療終了後も保定装置(リテーナー)を一定期間正しくつけることを忘れずにお願いします。
4歳〜10代
主訴
受け口を治したい
治療期間
2013年〜2023年
※写真は予防矯正終了時(2021年)のもの
治療回数
53回
費用
資料採取:16,500円(税込)
ムーシールド〜予防矯正:385,000円(税込)
本格矯正:385,000円(税込)
副作用・リスク
矯正歯科治療は自費診療となり健康保険対象外です。
矯正治療中は、歯ブラシが届きにくく、虫歯や歯周病(歯肉炎)のリスクが伴います。そのため、医院でのブラッシング指導、ご本人の毎日の歯ブラシをしっかり行っていただく必要があります。
装置装着後と歯の移動により1~3日ほど痛みを伴うことがあります。
矯正装置の装着・着脱動作中に痛みや咬合状態の変化による不快感・違和感を生じる場合があります。
歯の移動に伴い、装置から余分なワイヤーが出ることがあります。そのため内頬を傷つけることがまれにあります。
その場合はワイヤーの調整やカットを随時行います。
極端に硬い食べ物などを召し上がる場合など、装置が外れたりすることがあります。装置への負担を軽減するため、極端に硬い食べ物は避けるようにしてください。
繊維質の食べ物は、装置にひっかかり飲み込みづらくなることがあります。
舌側矯正の場合、装置の装着直後は発音・滑舌に影響が出ることがあります(慣れることで徐々に改善されます)。
個人差によっては歯が後戻りをすることがあります(移動した歯は元の位置に戻ろうとします)。
そのため治療終了後も保定装置(リテーナー)を一定期間正しくつけることを忘れずにお願いします。
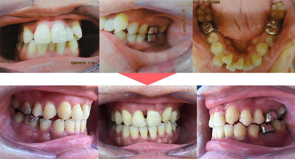
30代
主訴
歯列をきれいにしたい
治療期間
2020年11月~2023年8月まで
治療回数
34回
費用
本格矯正:770,000円(税込)
副作用・リスク
矯正歯科治療は自費診療となり健康保険対象外です。
矯正治療中は、歯ブラシが届きにくく、虫歯や歯周病(歯肉炎)のリスクが伴います。そのため、医院でのブラッシング指導、ご本人の毎日の歯ブラシをしっかり行っていただく必要があります。
装置装着後と歯の移動により1~3日ほど痛みを伴うことがあります。
矯正装置の装着・着脱動作中に痛みや咬合状態の変化による不快感・違和感を生じる場合があります。
歯の移動に伴い、装置から余分なワイヤーが出ることがあります。そのため内頬を傷つけることがまれにあります。
その場合はワイヤーの調整やカットを随時行います。
極端に硬い食べ物などを召し上がる場合など、装置が外れたりすることがあります。装置への負担を軽減するため、極端に硬い食べ物は避けるようにしてください。
繊維質の食べ物は、装置にひっかかり飲み込みづらくなることがあります。
舌側矯正の場合、装置の装着直後は発音・滑舌に影響が出ることがあります(慣れることで徐々に改善されます)。
個人差によっては歯が後戻りをすることがあります(移動した歯は元の位置に戻ろうとします)。
そのため治療終了後も保定装置(リテーナー)を一定期間正しくつけることを忘れずにお願いします。